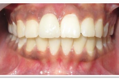
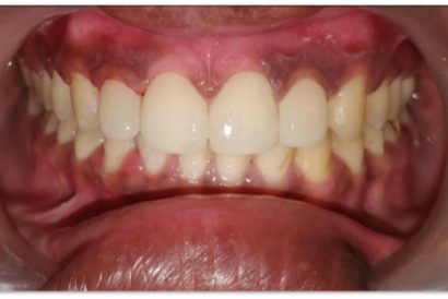
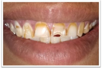
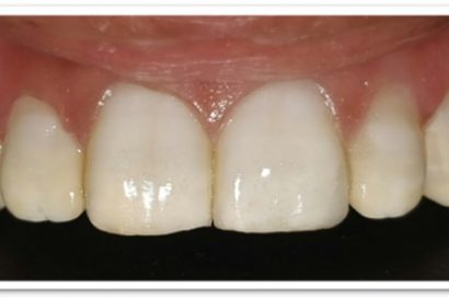
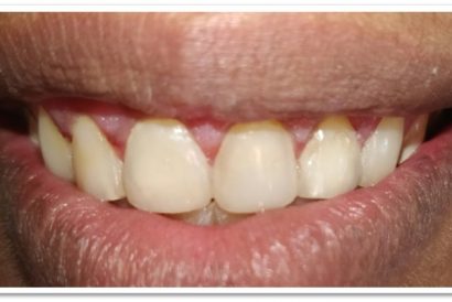
Patient Name: Rakesh Sinha
Tooth Involved : 11 12 21
Diagnosis : Caries Involving Enamel And Dentin Mesiocclusally
Treatment : Direct Composite Restorations Using Nanohybrid Composite
Before
After
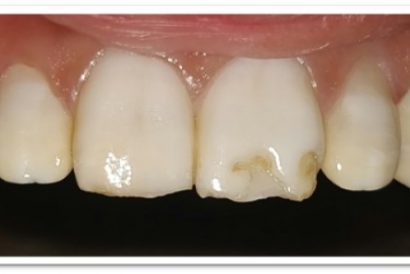
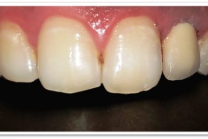
Patient Name: Poonam Joshi
Tooth Involved : 21
Diagnosis : Hypoplastic Stains With 21
Treatment : Direct Composite Using Nanohybrid Composite
Stains Masked Using IVOCLAR EMPRESS COLOUR White And Honey
Before
After
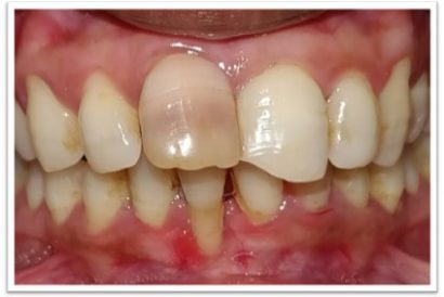
Patient Name:Padma Harkar
Tooth Involved : 11 12 13 21 22 23
Diagnosis : Fluorosis
Treatment : Direct Composite Veneers
Restoration: Direct Composite Using Nanohybrid composite
Stains masked using IVOCLAR EMPRESS COLOUR White And Honey.
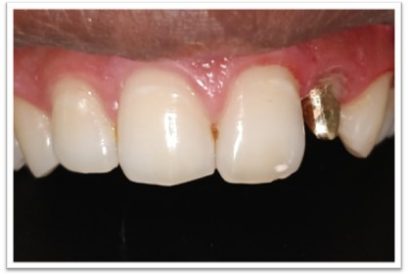
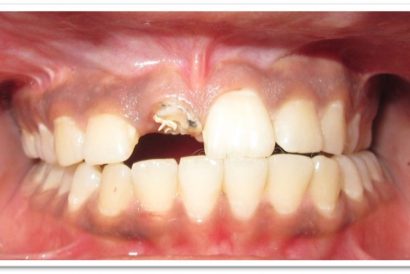
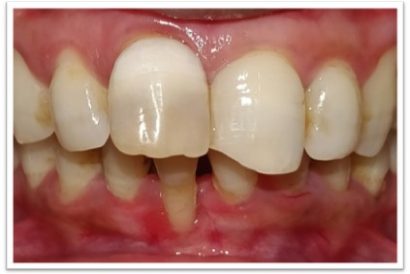
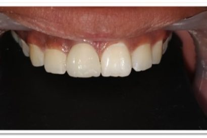
Patient Name:Anil Jagtap
Tooth Involved : 22
Diagnosis : Ellis Class IV Fracture With 22
Treatment : Root Canal Treatment 22
Restoration: Cast Post And Core With Porcelain Fused To Metal Crown.
Before
After
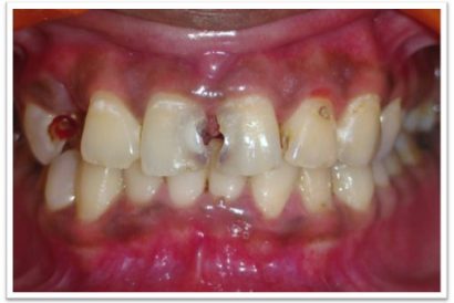
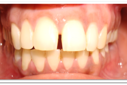
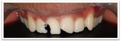
Patient Name:Saba Memon
Tooth Involved :11 , 21
Diagnosis : Ellis Class II Fracture
Treatment : Direct Composite Restoration Using Nanohybrid Composite
Before
After
Patient Name:Ankita Jadhav
Tooth Involved :11
Diagnosis :Ellis Class IV Fracture with 11
Treatment : Root Canal Treated 11, inside outside power bleaching with 35% hydrogen peroxide
Before
After
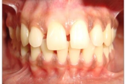
Patient Name:Kevin Haria
Tooth Involved :11 12
Diagnosis :Diastema Between 11 12
Treatment : Diastema Closure Using Nanohybrid Composite
Before
After
Patient Name:Akshay Gharat
Tooth Involved :16
Diagnosis :Caries Involving Enamel And Dentin Mesiocclusally
Treatment :Class Two Direct Composite Restoration Using Nanohybrid Composite
Before
After
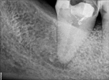
Patient Name:Rakesh Sinha
Tooth Involved :46
Diagnosis :Distocclusal Caries Involving Enamel And Dentin
Treatment :Indirect Restoration With Cuspal Coverage Of Distocclusal Cusp
Patient Name:Chaitrali Patel
Tooth Involved :46
Diagnosis :Caries Involving Enamel And Dentin Approaching The Pulp : Sympotomatic Reversible Pulpitis
Treatment :Direct Pulp Capping With MTA
Restoration: Direct Composite Restoration Using Nanohybrid Composite
Before
After
Patient Name:Chaitrali Patel
Tooth Involved :46
Diagnosis :Caries Involving Enamel And Dentin Approaching The Pulp : Sympotomatic Reversible Pulpitis
Treatment :Direct Pulp Capping With MTA
Restoration: Direct Composite Restoration Using Nanohybrid Composite
Before
After
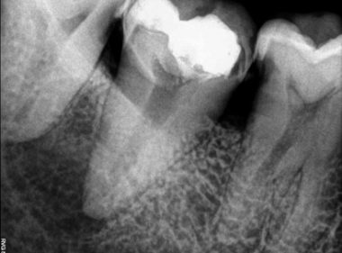
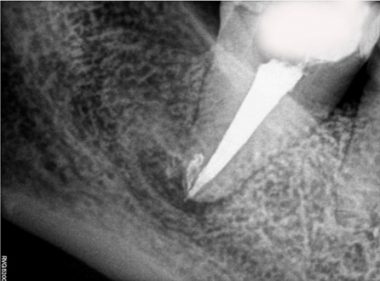
Patient Name: Asha Mane
Tooth Number: 47,48
Diagnosis: Radicular Cyst with 47,48
Treatment : endodontic treatment with 47, Extraction with 48.
File system used : TRUESHAPE 3D, Vortex Blue
Pre-operative
Obturation
After extraction with 48
Follow up after 3 months
Master cone after 1 month
Follow up after 6 months
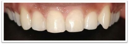
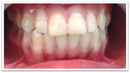
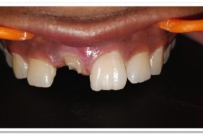
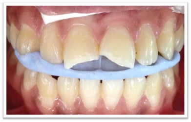
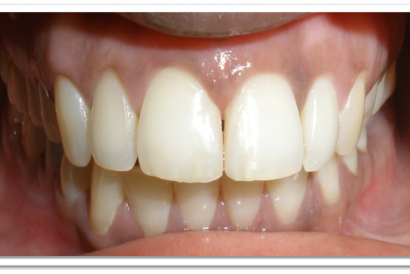
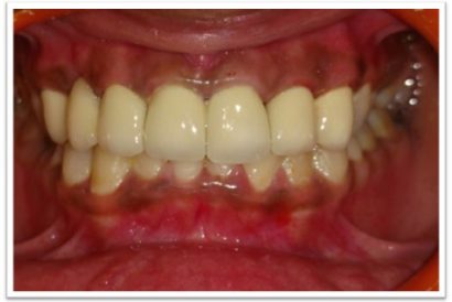
Patient Name: Sakshi Talwar
Tooth Number: 11
Diagnosis : fractured restoration
Treatment : Endodontic Treatment With 11 and fiber post and core, gingvectomy and frinectomy with 11
Restoration: Bonded Lithium Disilicate Emax Restoration
I highly recommend Dr.Pranav. He is not only passionate about his work but believes that his work make his patients happy. He explains the treatment to the patients and hence the patients are aware about the entire protocol. His staff is also very supportive and cooperative. Had a very pleasant and satisfying experience in getting my treatment done from him.
Amazing doctor with lot of knowledge and passion for his work. Got my front emax crowns done. My smile has changed completely. It's looking more natural and beautiful. I would definitely recommend
Doctor is passionate about his work, and purely believes in quality work. He believes in conserving the tooth and tries his level best to live upto his philosophy. I have come to a conclusion that root canals must be got done only from an expert.
The doctors are very friendly and the results are amazing by thier treatments i highly recommend on dento care
I had a great experience. From Dr.Pranav helping me find time that works in my busy schedule to come in to Om dento care being so good at his job that I actually find getting my teeth cleaned relaxing to, who has given me great dental care, this is truly an exceptional. I brag about my dentist all the time! You guys are awesome!
I took treatment from Dr. Pranav Thakkar. He given me very good professional service. Very Hygienic environment with modern technology, plus his assistants and staff were very friendly it's feels you more comfortable. I highly recommend Dr. Pranav for your future dental treatment.
One of a kind dental clinic with an unique and patient friendly approach that is very rarely seen now a days! Would definitely recommend to all 👍🏻
Beautiful clinic and amazing experience of root canal. Advance technologies and well equipped clinic.